
Gravid uge 6: Et lille hjerte slår

foto: jordemoder.dk
Baby:
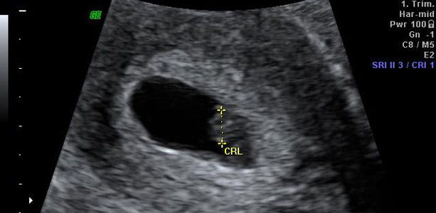
I løbet af de næste uger gennemgår din baby en intensiv udvikling, hvor følsomheden for negative påvirkninger fra for eksempel alkohol, tobak og visse typer medicin er stor. Et endnu ikke fuldt udviklet hjerte er ved at blive dannet, og omkring uge 6 eller starten af 7. uge kan du ved scanning se det slå. Fem millimeter langt og en vægt på ét gram - småt, men godt!
Fra omkring uge 6-14 angives barnets mål fra "hoved til hale" med det såkaldte crown rump length (CRL).
Hvornår har du termin? Hvornår mærker du liv? Hvornår går du ind i hvert trimester?
Prøv Mama.dk’s terminsberegner her
Dig:
Det er ved at være tid til den første graviditetskonsultation hos din praktiserende læge, som ved en gynækologisk undersøgelse kan se, at livmoderhalsen er blåligfarvet og mere blød at føle på, end når du ikke er gravid. Hvis du har været til en tidlig scanning og fået konstateret, at du er gravid, kan den gynækologiske undersøgelse undlades.
Hvis din mave føles lidt træg, er det fordi, maden er længere tid om at passere gennem tarmene, hvilket også kan betyde, at du kan have mere luft i maven.
Gode råd:
Lysten til sex forandres løbende gennem din graviditet, og det er helt normalt at have både mere eller mindre lyst. Nogle føler sig mere tiltrækkende og andre bestemt ikke! Men også kvalmen, trætheden eller utilpasheden kan spille ind. At give udtryk for hinandens behov under en graviditet er det første skridt på vejen til et godt samliv. Snak med hinanden om, hvorfor I har lyst - eller ikke lyst. Det er en god øvelse til at møde de udfordringer, I kommer til at stå med som nybagte forældre.
LÆS OGSÅ: Den kinesiske kalender: Venter jeg en pige eller en dreng?
Vidste du, at…
Du ikke skal være bange for, at sex skader barnet, når din graviditet ellers forløber normalt? Barnet ligger godt beskyttet i livmoderen omgivet af fosterhinder og vand, og I kommer derfor aldrig i direkte kontakt med barnet under samleje. Du kan efter samleje opleve at have en lille pletblødning fra livmoderhalsen, som er helt normal og kaldes "kontaktblødning", fordi din livmoderhals er mere blodfyldt og sårbar. Er du i tvivl, så spørg din jordemoder.
LÆS OGSÅ: Guide: Her får du gratis babypakker
GRAVID UGE FOR UGE
Gravid uge 1+2: Sidste menstruation
Gravid uge 3: Begyndelsen til et barn
Gravid uge 4: Ømme bryster eller ”murren” over skambenet
Gravid uge 5: Du føler dig mere træt
Gravid uge 6: Et lille hjerte slår
Gravid uge 8: Mælketænder på vej
Gravid uge 9: Dreng eller pige?
Gravid uge 10: Alle organer er på plads
Gravid uge 11: Kvalmen aftager
Gravid uge 14: Baby kan gribe og sparke
Gravid uge 15: Kønnet kan (måske) ses
Gravid uge 16: Hår, øjenbryn og negle
Gravid uge 17: Kolbøtter og saltomortaler
Gravid uge 19: Hørelsen udvikles
Gravid uge 20: Sutter på tommelfinger
Gravid uge 21: Sure opstød og halsbrand
Gravid uge 22: Tynd og rynket hud
Gravid uge 23: Laver vejrtrækningsøvelser og drømmer
Gravid uge 24: Reagerer på dit humør
Gravid uge 27: Smager på fostervandet
Gravid uge 28: Mærker liv hver dag
Gravid uge 30: Laver vejrtrækningsøvelser
Gravid uge 32: Aktivitet i hjernen
Gravid uge 33: Kan trække vejret
Gravid uge 35: Fylder livmoderen ud
Gravid uge 36: Tæt på at være fuldbårent
Gravid uge 37: Fylder depoterne op
Gravid uge 38: Pladsen ned igennem bækkenet er trang
Gravid uge 39: Fødslen kan gå i gang når som helst
Gravid uge 40: Begynder at blive utålmodig

