
Se før og efter: Lene fik rettet sine tænder med en usynlig bøjle

Foto: Heidi Maxmiling, privatfotos og Søren Sehested.
Lene fik rettet sine tænder med usynlig bøjle: "Nu kan jeg smile over hele femøren"
Som årene går, flytter vores tænder sig, og specielt fortænderne kan begynde at blive skæve. Din første tanke er nok, at det er for sent at få et flot “Colgate-smil”, fordi du ikke har lyst til at gå rundt med togskinner i din alder. Den tanke havde 55-årige Lene Svanekjær fra Trørød – lige indtil hun fik øjnene op for en behandling med en næsten usynlig bøjle.
– I mange år har jeg gået med tanken om at få rettet tænder, men jeg kunne ikke se mig selv med “togskinner” og nakketræk, fortæller Lene, der til daglig arbejder som underviser på SOSU H, en SOSU-skole i København.
Hun troede aldrig, at drømmen om en perlerække af et smil ville blive til virkelighed.
En dag fik Lene dog øje på en annonce på Facebook, der viste, at Tandlægerne på Østerbro afholdt en informationsaften om den næsten usynlige bøjle med navnet Invisalign. Og da hun så på en computerskærm på deres klinik, hvordan resultatet kunne blive, blev Lene rørt til tårer.
– Det var helt vildt at se, hvordan mine tænder kunne flytte sig. Jeg blev rørt, fordi oplevelsen af, at noget, der er så personligt som ens smil, kan gøres pænere, ramte mig dybt. “Kan det virkelig ske for mig”, spurgte jeg mig selv.
Efter at have fået undersøgt tænderne og mulighederne kastede Lene sig ud i forløbet med Invisalign tilbage i maj sidste år.
– Det er bestemt ikke billigt med sådan et forløb, og man kunne næsten købe en lille bil for samme beløb, konstaterer Lene og fortsætter efter lidt betænkningstid:
– Jeg er midt i 50'erne, og hvis jeg skal have det lavet, så er det jo dét, jeg skal beslutte mig for nu i stedet for alt muligt andet. For hvis jeg skal nå at have glæde af det, skal jeg da netop ikke vente, erkender hun.
LÆS OGSÅ: Tandlægen: Sådan passer du bedst på dine tænder
Aldrig for sent
Tandlæge hos Tandlægerne på Østerbro, Søren Sehested, oplever mange kunder, der spørger, om det ikke er for sent at få rettet tænder. Der er sågar mange modne kvinder, der er i tvivl om, hvorvidt de kan tillade sig at bruge så mange penge på sig selv.
De spekulationer havde Lene da også, men hun valgte at sammenligne det med at lære at dykke eller tage på en rejse for at retfærdiggøre at bruge så mange penge på sig selv. Hvad andre ville tænke om det, besluttede hun at være ligeglad med. Men faktisk har Lene ikke mødt én eneste, der syntes, det var en skør investering.
– Selv da min mor på 80 år så videoen, der viste, hvordan mine tænder ville komme til at se ud, reagerede hun ved at nikke og sige: “Det kan jeg godt forstå, at du gerne vil”.
Smertefrit smil
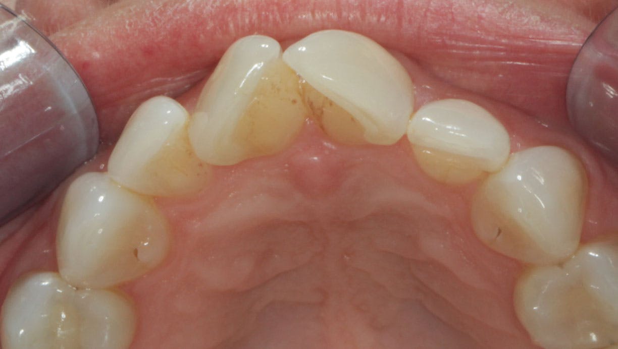
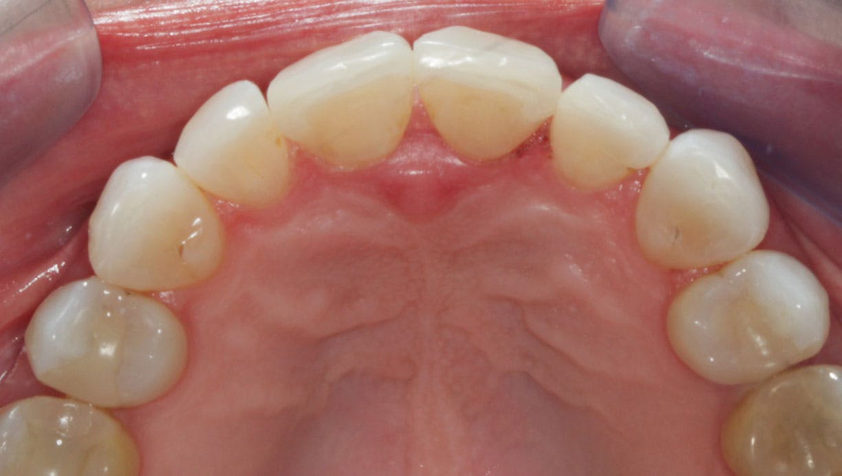
I marts blev Lene færdig med det, hun kalder for et overraskende nemt og smertefrit forløb. Og efter at have haft skinner på i otte måneder er både overbiddet og læben, hun altid forsøgte at få til at nå ud over de strittende fortænder, afløst af et stort flot smil, der smitter helt.
Lene fortæller, at hun altid har smilet meget over “hele femøren”, men nu er hun sikker på, at hun roligt kan gøre det.
– Der er bundet noget livsglæde op på at have et flot smil. Det giver noget velvære, som hvis man har dyrket motion, spist sundt eller været til frisør. Og så giver det nok også noget selvtillid.
Og den selvtillid mærker Søren Sehested da også.
– Jeg har bemærket, at Lene træder helt anderledes ind i rummet end førhen. Der er ingen tvivl om, at hun har fået mere selvtillid, fortæller han, mens Lene nikker og kommer med en opfordring:
– Hvis man drømmer om at få rettet tænder, hvorfor så vente? Jeg kan skrive under på, at det ikke er for sent, selv om man er en moden kvinde, og man kan derfor roligt kaste sig ud i det: Spar op og vælg en tandlæge, man har tillid til. Tag den tid, det tager. Det gør ikke ondt, og der er ingen gener ved det. Når man pludselig får en perlerække i munden, sætter man ekstra stor pris på det, fortæller Lene, der er klar til at gå fremtiden i møde med masser af smil.
Lenes tænder før tandretningen:


Lenes tænder efter tandretningen:


Er et system, der anvendes til at rette tænder. Tænderne reguleres med en bøjle, der udgøres af en gennemsigtig plast-skinne. Skinnen sidder ikke fast, men kan tages af og på, når man eksempelvis skal spise. Læs mere på tpobro.dk

